Гиалиноз является достаточно частым явлением у пациентов, особенно у тех, кто долгое время страдает хроническими заболеваниями. Далеко не всегда гиалиноз диагностируется, данное состояние является причиной большого количества осложнений.
Что это такое
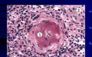
Суть патологии заключается в накоплении в тканях и сосудах белка гиалина. Это вещество плотной консистенции, белое и полупрозрачное. При его накоплении происходит изменение структуры тканей и органов.
Понятие гиалиноз определяется как патологический процесс, при котором происходит нарушение обмена белков, что и ведет к отложению гиалина.
Причин развития много, одна из самых распространенных – наличие хронического воспаления. Лечение заключается в терапии основного заболевания, специфической профилактики не разработано.
Гиалиноз представляет собой патологический процесс, при котором происходит накопление гиалиноподобных веществ в тканях и органах. Врачи отмечают, что это состояние может быть связано с различными заболеваниями, включая диабет, гипертонию и хронические воспалительные процессы. По мнению специалистов, гиалиноз часто является маркером системных нарушений, таких как недостаточность кровообращения или метаболические расстройства.
Важно отметить, что диагностика гиалиноза требует комплексного подхода, включая лабораторные исследования и визуализационные методы. Врачи подчеркивают, что раннее выявление и лечение основного заболевания могут значительно замедлить прогрессирование гиалиноза и улучшить качество жизни пациентов. В целом, внимание к этому состоянию со стороны медицинского сообщества растет, что способствует более глубокому пониманию его механизмов и последствий.

Причины возникновения
Риск развития заболевания возможен в любых органах, в которых имеется хронический воспалительный процесс. Другие причины гиалиноза:
- Артериальная гипертензия.
- Ангиосклероз.
- Сахарный диабет и другие гормональные нарушения.
- Различные хронические интоксикации.
Гиалиноз также развивается в результате аутоиммунных воспалительных заболеваний, особенно длительно протекающих.
Классификация
- Патология делится на физиологическую и патологическую.
- Первый вид рассматривается как вариант нормы и связан со старением организма.
- Второй вид является следствием отложения патологического гиалина.
- Гиалиноз бывает системным и местным.
- При первой форме происходит поражение кровеносных сосудов по всему тела человека.
- При второй наблюдаются локальные отложения белка на различных органах. Местный гиалиноз может рассматриваться в качестве возрастных изменений.
- По локализации выделяют ангио- и фиброгиалиноз.
- Ангиогиалиноз – отложение белка в стенках сосудов.
- Вторая форма характеризуется накоплением субстрата в соединительной ткани.
Гиалиноз — это патологическое состояние, характеризующееся накоплением гиалиноподобного вещества в тканях организма. Многие люди, столкнувшиеся с этой проблемой, отмечают, что симптомы могут быть разнообразными и часто зависят от локализации процесса. Например, в случае гиалиноза легких пациенты могут испытывать одышку и кашель, что значительно ухудшает качество жизни.
Некоторые пациенты делятся своими переживаниями о том, как гиалиноз влияет на их повседневную активность и эмоциональное состояние. Они подчеркивают важность ранней диагностики и своевременного лечения, чтобы избежать серьезных осложнений. Врачебные рекомендации и поддержка близких играют ключевую роль в процессе преодоления этого заболевания.
Обсуждая лечение, многие отмечают, что комплексный подход, включающий медикаментозную терапию и изменения в образе жизни, может существенно улучшить состояние. В целом, люди, столкнувшиеся с гиалинозом, подчеркивают необходимость повышения осведомленности о данном заболевании и важность регулярных медицинских осмотров.

Возможные осложнения, исход
Гиалиноз приводит к большому количеству осложнений.
- Поражение кровеносных сосудов заканчивается их склерозом, нарушается проницаемость стенок и сосудистое сопротивление. Это ведет к злокачественной артериальной гипертензии, которая тяжело поддается медикаментозной терапии. Сама патология, в свою очередь, опасна инфарктом миокарда, инсультом, нарушениями функционированием почек и органа зрения.
- Гиалиноз может являться одним из пусковых факторов развития ревматологических заболеваний (и наоборот), поражения периферической нервной системы при сахарном диабете.
- Локальные отложения белка могут находиться в сосудах головного мозга, почках, поджелудочной железе. Это приводит к различным нарушениям в их работе. Поражение головного мозга проявляется снижением когнитивных функций.
- Одно из осложнений гиалиноза – отложение белка в капсуле печени и селезенки. Это приводит к недостаточности функции органов или полному прекращению их работы.
Симптомы, признаки гиалиноза
Гиалиноз проявляется теми симптомами, которыми проявляется заболевание, послужившее пусковым фактором для патологических изменений.
- При ревматологических заболеваниях, например, при поражениях клапанов сердца, происходит развитие сердечной недостаточности. У пациентов имеются жалобы на одышку, посинение рук и ног, лица, невозможность выполнять минимальную физическую нагрузку, периодические боли в области левой половины грудной клетки.
- При сахарном диабете главным симптомом является повышение уровня глюкозы в крови. При накоплении гиалина происходит развитие полинейропатии и ангиопатии нижних конечностей. У пациентов возникают жалобы на онемение и жжение в ногах. Опасность кроется в том, что может происходить некроз тканей.
- В случае артериальной гипертензии происходит стойкое повышение артериального давления свыше цифр 140/90 мм.рт.ст. При гипертензии, как и при сахарном диабете, происходит поражение сосудов органа зрения, головного мозга и почек. Это проявляется проблемами со зрением, выделением. Также возникают различные признаки нарушений работы центральной нервной системы – головокружение, снижение памяти, проблемы с походкой и координацией движений.

Диагностика
Начинается со сбора анамнеза, общего осмотра. Также проводятся следующие исследования:
- Общий анализ крови, общий анализ мочи.
- Биохимия крови.
- Различные иммунологические реакции – ИФА, ПЦР и другие.
- УЗИ органов брюшной полости, сердца, сосудов нижних конечностей.
- Холтеровское мониторирование, суточное мониторирование артериального давления.
- Компьютерная или магнитно-резонансная томография.
При необходимости к консультации пациентов привлекаются специалисты – кардиологи, нефрологи, эндокринологи, ревматологи.
Лечение
Терапия проводится как амбулаторно, так и стационарно. Важная задача – перевести основную патологию в стадию компенсации.
- При ревматических заболеваниях назначаются аутоиммунные препараты – Метотрексат, Циклоспорин, Сульфасалазин и другие.
- При сахарном диабете важен прием глюкозоснижающих средств. Для профилактики осложнений используются препараты тиоктовой кислоты, ипидакрина, пентоксифиллина.
- При гипертензии и поражении клапанов сердца применяются различные группы средств – ингибиторы АПФ (Лизиноприл, Эналаприл), сартаны (Лозартан), диуретики (Спиронолактон, Индапафон, Фуросемид), антиагреганты (Аспикард, Плавикс). Также используются средства для улучшения доставки кислорода к сердечной мышце – Тиотриазолин. В тяжелых случаях требуется проведение хирургического лечения.
- Дополнительно используются ноотропы (Мексибел, Цитиколин, Эмоксипин, Сермион), витамины группы В (Келтикан, Мильгамма).
Оказание первой помощи при гиалинозе не требуется, так как патология развивается постепенно. Важно как можно раньше обратиться к врачу при появлении симптомов каких-либо заболеваний.
Профилактика
Специфических мер профилактики гиалиноза не существует. Важно вести здоровый образ жизни, вовремя обращаться к врачу при подозрении у себя какой-либо патологии. При хронических заболеваниях различного генеза следует постоянно наблюдаться у специалиста. Главное, чтобы патологии, являющиеся причиной гиалиноза, постоянно находились в компенсированном состоянии.
Вопрос-ответ
Что такое гиалиноз?
Синдром гиалинового фиброматоза (инфантильный системный гиалиноз, ювенильный гиалиновый фиброматоз). Синдром гиалинового фиброматоза – это редкое наследственное заболевание, которое характеризуется поражением кожи, костно-суставной системы и желудочно-кишечного тракта.
Что вызывает гиалиноз?
ISH вызывается мутациями в гене рецептора сибиреязвенного токсина 2 (ANTRX2) на хромосоме 4q21. Мутации в том же гене вызывают ювенильный гиалиновый фиброматоз, похожее, но более легкое заболевание.
Что такое гиалиноз почек?
Гиалиноз почек относится к гломерулонефрозам, характеризуется отложением гиалиновых капель в сосудах клубочка. Макрокартина идентична белковым нефрозам. Амилоидный нефроз характеризуется отложением белка – амилоида.
Чем характеризуется начальная стадия гиалиноза?
Начальная стадия гиалиноза характеризуется разрушением эритроцитов. Ороговением плоского многослойного эпителия. Образованием гемосидерина в органах и тканях. Окрашиванием слизистых и серозных оболочек в желтый цвет.
Советы
СОВЕТ №1
Изучите основные причины гиалиноза, чтобы лучше понять, как он может повлиять на ваше здоровье. Это поможет вам избежать факторов риска и принять меры для их минимизации.
СОВЕТ №2
Регулярно проходите медицинские обследования, особенно если у вас есть предрасположенность к заболеваниям, связанным с гиалинозом. Ранняя диагностика может значительно улучшить прогноз и качество жизни.
СОВЕТ №3
Обратите внимание на свой образ жизни: сбалансированное питание, физическая активность и отказ от вредных привычек могут помочь снизить риск развития гиалиноза и других связанных заболеваний.